Усі етапи імплантації в пакеті!
Імплант S.Plant (Корея) під ключ
Імплант Straumann (Швейцарія) під ключ
+ цирконієва коронка
+ цирконієва коронка
25 255 грн
34 040 грн
Етап 1
Етап 2
Етап 3
Етап 4
Етап 5
Етап 6
Етапи установки
Консультація та огляд
Підготовчий етап
Процес встановлення імпланту
Встановлення формувача
Індивідуальний відбиток
Втановлення коронки
Час проведення: 30-35хв.
Час проведення: 1-5дн.
Час проведення: 30-40хв.
Час проведення: 20-30хв
Час проведення: 30-40хв
Час проведення: 20-30хв.
Спеціаліст лікар-хірург імплантолог проводить детальний огляд ротової порожнини та вивчає знімки комп'ютерної томографії (КТ). Відразу разом з пацієнтом лікар складає індивідуальний план лікування та проговорює усі етапи лікування.
Перед імплантацією ротову порожнину потрібно просанувати, тобто пролікувати всі нездорові зуби, зробити комплексну гігієну порожнини рота. Усі зуби перед імплантацією повинні бути здоровими.
Лікар встановлює імплантат, варто зазначити, що під час маніпуляції стоматолог робить анестезію, розріз ясен та накладає шви після операції (через деякий час шви потрібно зняти), відразу проведуть кісткову аугментацію та мягкотканну пластику (якщо кісткової тканини або товщини ясен не вистачає), цей момент лікар обов'язково проговорить перед операцією в перший візит при складанні плану лікування.
Після 3-6 місяців (це індивідуально) встановлюється формувач ясен, для того, щоб сформувати правильну форму десни для встановлення майбутньої коронки.
Під час цього етапу (через 10-14 дн.), робиться індивідуальний відбиток для виготовлення ортопедичної конструкції (коронки).
Фінальний етап - встановлення коронки (через 10-15 дн.) та універсальної платформи. Встановлена конструкція нічим не відрізняється від власних зубів.
Головний лікар, лікар стоматолог-хірург, ортопед.
Коцурак Сергій Володимирович
Лікар і досвід
Має вищу медичну освіту, закінчив Українську медичну стоматологічну академію, практикує вже 17 років.
Займається імплантацією, кістковою аугментацією, пластикою ясен, проводить відкритий кюретаж зубів, відкритий та закритий синус ліфт, проводить видалення зубів любої складності.
Щороку проходить курси по підвищенню кваліфікації у закордонних та українських лекторів
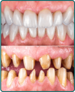
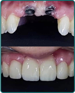
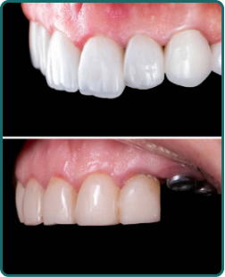
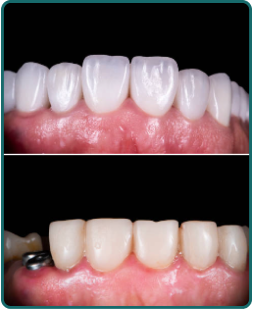
Фото робіт до і після
Записатися на консультацію
Переваги імплантації
Встановивши якісні, сертифіковані імпланти, Ви отримуєте довічну гарантію від виробника
Процес приживлення імплантату залежить від кваліфікації спеціаліста та готовності Вашого організму прийняти стороннє тіло
Естетично та функціонально, імпланти з коронкою як натуральні зуби
Дає можливість споживати будь-яку їжу
Не ушкоджуються сусідні зуби, імплантація відбувається у зоні відсутнього зуба
Не потребує опорних зубів
Не потрібно “обпилювати сусідні” зуби
Повністю замінює протез при повній адентії (повна відсутність зубів) використовується технологія "All in 4" або "All in6"
Часті запитання
Деякі імпланти служать 5-6 років. Але якісні імпланти при відповідному догляді за порожниною рота “працюють” все життя.
Деякі імпланти служать 5-6 років. Але якісні імпланти при відповідному догляді за порожниною рота “працюють” все життя.