Лікування карієсу 1го зуба
(фотополімерна пломба)
Реставрація 1го зуба
фотополімерним
матеріалом
925 грн
2 600 грн
2 770 грн
від
від
від
Лікування 1го кореневого
каналу (під мікроскопом)
Лікування зубів будь-якої складності в Axilar
Сучасні методики лікування зубів від терапевтів Axilar Dental Clinic
Вчасно виявлені проблеми зі здоров’ям зубів — це запорука того, що ви зможете зберегти красиву посмішку та міцні зуби надовго. Довірте обстеження та лікування своїх зубів професіоналам-терапевтам клініки Axilar.
Ми впроваджуємо сучасні терапевтичні протоколи та застосовуємо власні методики лікування зубів та ротової порожнини, щоб зберегти їх здоров’я, а як наслідок — ваше загальне здоров’я!
На жаль, карієс є однією з найрозповсюдженіших проблем зубів. Як корінних, так і молочних. Вчасно виявлене ураження зуба карієсом та запроваджене лікування лають можливість зберегти зуб та запобігти розповсюдженню карієсу по всій ротовій порожнині.
Клініка сучасної стоматології Axilar пропонує вам не чекати, поки прояви карієсу стануть наочними та болісними! Записуйтесь на консультацію та отримуйте медичну допомогу в наших лікарів!
Етапи проведення лікування зубів
Етап 1
Етап 2
Етап 3
Етап 4
Етап 5
Консультація, огляд та розробляння плану лікування
Підготовка уражених зубів до препарування
Препарація ураженого зубу
Встановлення пломби
Фінальне шліфування та формування прикусу
На першому етапі лікар-терапевт проводить первинний огляд ротової порожнини, призначає за необхідності проведення рентгенографії та аналізує отримані рентген-знімки для визначення з методом лікування та термінами.
На цьому етапі лікар усуває з уражених зубів наліт, зубний камінь, робить ізоляцію зуба від слини за допомогою кофердаму, а також визначається з типом матеріалу для пломби та його відтінком, щоб зуб виглядав якомога натуральніше.
За потреби на цьому етапі лікар може запропонувати пацієнту анестезію, а потім — видаляє уражені карієсом тканини зуба та підготовлює його до встановлення пломби.
Безпосередньо встановлення пломби на підготовлену та оброблену антисептичними препаратами частину зуба на шар адгезивного матеріалу. Залежно від обраного типу пломби, цей етап може мати варіації.
Лікар-терапевт
Стешенко Артур
Лікар і досвід
Лікар стоматолог з великим досвідом роботи в ендодонтії та ортопедії

Має глибокі знання та вміння працювати з дентальним мікроскопом. Завдяки цим вмінням забезпечує високу точність та якість проведених процедур, таких як лікування, переліковування кореневих каналів та ортопедична реабілітація зубів.
Гарантує своїм пацієнтам комплексне та ефективне стоматологічне лікування для здорової та чудової посмішки.
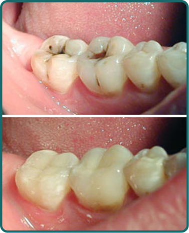
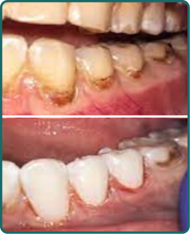
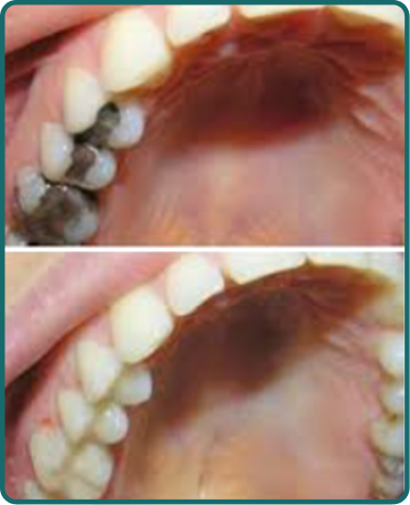
Фото робіт наших лікарів до/після
Записатися на консультацію
Переваги лікування зубів в Axilar Dental Clinic
Вся процедура виконується одним лікарем та займає короткий час.
Сучасні знеболювальні та анестетичні засоби — для наших клієнтів, щоб лікувати зуби без болю.
Тільки якісні матеріали для встановлення пломб для дітей та дорослих.
Гігієнічна чистка зубів перед лікуванням допоможе вам зберігати здоров’я ротової порожнини.
Лікування карієсу та інших захворювань зубів проводиться за допомогою інноваційних методів та сучасного обладнання.
Ми завжди готові розробити для вас план лікування, згідно з яким послуги нашої клініки будуть доступні та приємні для вас.
Часті запитання
Ви можете знизити ризики розвитку карієсу, якщо будете дотримуватися гігієни порожнини рота, використовувати флос та ополіскувач під час чищення зубів, регулярно проводити профілактичний огляд та чищення зубів у спеціаліста хоча б раз на рік.
Ви можете знизити ризики розвитку карієсу, якщо будете дотримуватися гігієни порожнини рота, використовувати флос та ополіскувач під час чищення зубів, регулярно проводити профілактичний огляд та чищення зубів у спеціаліста хоча б раз на рік.