Лікування молочних зубів
Герметизація зубів
1 000 грн
630 грн
520 грн
від
від
від
Дитяча чистка зубів

Послуги дитячої стоматології в Києві: лікування молочних та кутніх зубів малечі

Дитяча стоматологія: новітні технології та турбота про найменших пацієнтів
Піклуємося про ваші зуби з самого дитинства! Безболісне, турботливе та кваліфіковане лікування зубів для малечі в клініці Axilar — це можливість привчити дитину до регулярних візитів до стоматолога. Ми дбайливо підбираємо лікування та корекцію, щоб дитина з часом мала рівні, здорові та міцні зуби.
Спектр послуг дитячої стоматології у клініці Axilar містить:
Видалення зубів
Профілактика зубних захворювань
Реставрація молочних зубів
Лікування карієсу молочних та корінних зубів у дітей
Протезування молочних зубів
Корекція прикусу дітей
А ще, після кожного відвідування нашої стоматології, дитина отримує подарунок за гарну поведінку.
Дитяча стоматологія — це цілий комплекс методів та технік, які застосовуються виключно для пацієнтів молодшого віку. Дитячий лікар-стоматолог — це окремий напрям в медицині, а представники цієї професії мають здобути не лише профільні знання та досвід, але й бути гнучкими, емпатійними та налаштованими на роботу з дітьми. Саме такими якостями відрізняються лікарі Axilar Dental Clinic, які надають послуги нашим маленьким пацієнтам.
Етапи надання послуг дитячої стоматології
Етап 1
Етап 2
Етап 3
Етап 4
Етап 5
Первинний огляд та консультація
Діагностика та проведення рентгеноскопії уражених зубів
Формування плану лікування
Впровадження лікування
Регулярна профілактика
Спочатку лікар знайомиться зі своїм пацієнтом, вивчає його попередню історію візитів до стоматолога (за наявності), проводить первинний огляд ротової порожнини.
За виявлення проблемних зубів чи ознак хвороби лікар може призначити додаткові діагностувальні методи, наприклад, рентгеноскопію зуба. На основі отриманих знімків лікар складає план лікування.
План лікування розробляється згідно з потребами пацієнта, його особливостями, адже ми маємо справу з дітьми. Тому лікарі пропонують найбільш бережний та поступовий хід лікування, щоб дитина почувала себе в комфорті.
Лікар проводить лікувальні маніпуляції, підбирає найефективніші методики та матеріали, поступово відновлює здоров’я зубів.
Ми пропонуємо своїм пацієнтам найефективніший спосіб запобігти проблем з зубами в майбутньому після завершення лікування. Щорічний профілактичний огляд дозволить вчасно запобігти розвитку захворювань та псуванню дитячих зубів.
Лікар-терапевт
Іванов Антон Ігорович
Лікарі, які надають послуги
Має великий досвід та пройшов багато практичних курсів по ендодонтії, хірургії та невідкладній допомозі.
Надає послуги реставрації зубів, лікування кореневих каналів, гігієнічної чистки та відбілювання зубів.
Спеціалізується в рентген-діагностиці та лікуванні карієсу, пародонтозу, періодонтиту, пульпіту і захворювань порожнини рота, проводить лікування зубів під мікроскопом. Здійснює процедури видалення зубів.
Лікар ортодонт
Мазур Євген Вікторович
Фахівець зі спеціалізацією по діагностиці, профілактиці та лікуванню дефектів прикусу та неправильного розташування зубів.
Євген є ключовим гравцем у цілому процесі оздоровлення зубів та забезпечує пацієнтам красивий, здоровий та правильний прикус.
Має великий досвід та знається на сучасних технологіях та інструментах для побудови оптимальних режимів лікування.
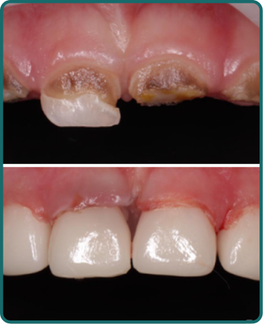
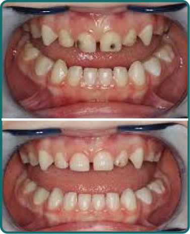
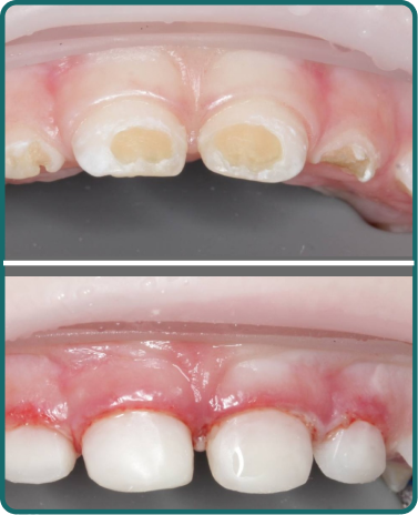
Фото робіт наших лікарів до/після
Записатися на консультацію
Переваги послуг дитячої стоматології в Axilar Dental Clinic
Безболісне лікування корінних та молочних зубів.
Ввічливі та турботливі лікарі, що вміють знайти підхід до кожного маленького пацієнта.
Надійні матеріали та інноваційне обладнання для швидкого та ефективного надання послуг дітям
Увесь спектр процедур для догляду та лікування зубів та ротової порожнини у дітей.
Подарунок чемним пацієнтам за гарну поведінку
Часті запитання
Намагайтеся підготувати малечу заздалегідь. Розповідайте про важливість лікування зубів, про лікарів, які будуть її лікувати, про те, що буде відбуватися протягом візиту. Створюйте позитивний настрій, не змушуйте дитину йти до лікаря, якщо вона категорично проти саме сьогодні — краще перенесіть візит.


Намагайтеся підготувати малечу заздалегідь. Розповідайте про важливість лікування зубів, про лікарів, які будуть її лікувати, про те, що буде відбуватися протягом візиту. Створюйте позитивний настрій, не змушуйте дитину йти до лікаря, якщо вона категорично проти саме сьогодні — краще перенесіть візит.